「歯牙破折」も歯を失う原因です

「歯牙破折(しがはせつ)」という言葉を聞いたことがありますか?「ない」と答えられる方も多いのではないでしょうか。虫歯、歯周病に次いで歯を失う原因の第3位に挙げられているもの。文字通り歯が折れてしまうことを歯牙破折とといいます。歯の見える白い部分である歯冠が割れてしまうことを歯冠破折(しかんはせつ)と呼び、歯ぐきの中にある根の部分が割れてしまうことを歯根破折(しこんはせつ)と呼びます。
歯冠破折については、詰め物や差し歯タイプの被せもの等で治すことができます。しかし、歯根破折についてはそうでもありません。破折の状態が比較的小さい場合には治せる余地もありますが、そうでない場合の歯根破折は抜歯になってしまいます。歯根破折は表から見えない歯ぐきの中で起こるため、なかなか気づきにくく重症化してしまうケースが多いのです。
こちらでは新宿の歯医者「恵愛歯科」が、特に気づきにくい歯根破折ついてご紹介します。大切な歯を守るために、歯根破折を起こさないよう心がけましょう。
歯根破折はなぜ起きる?
原因01:歯髄の喪失

歯根破折の多くは、根管(こんかん)治療で歯髄(歯の神経・血管)を取り除いた歯で起きています。歯髄を失うほど重度に進行した虫歯は、すでに歯を削る治療がくり返されていることが多く、弱っている上に歯髄を失ってさらにもろくなったことで、破折を起こしやすくなるのです。
原因02:歯ぎしり・食いしばり

歯ぎしりや食いしばりのクセがあると、咬む力のバランスが偏って、一部分の歯に過度な負担がかかってしまいます。その結果、歯根破折が起こりやすくなるのです。
原因03:金属の土台

重度の虫歯治療で被せ物を装着する際には、土台を構築する必要があります。その土台が金属製の場合、天然歯より硬い金属が歯根に負担をかけて破折を招きやすくなるのです。
原因04:外傷
3
歯根破折は、転んだり、何かにぶつかったりするなどの衝撃でも起こります。身体をぶつけ合うような激しいスポーツをする場合には、スポーツ用のマウスピースを装着するなどし、歯や歯根を守ることも大切です。
歯根破折の症状
歯ぐきの中で起きる歯根破折は、気づくまでに時間がかかりがちです。次のような症状が見られたら、歯根破折が起きている可能性があります。異変に気づいたら、お早めに当院までご相談ください。
| 症状01 | 症状02 |
|---|---|
| 歯ぐきが腫れる ふくらむ |
被せ物が 外れる |
| 症状03 | 症状04 |
| 咬むときに 違和感がある |
歯髄を取り除いた歯が 急に痛む |
歯根破折の治療
歯根破折は自覚しにくいため、放置されがちになります。しかしそれはとても危険なこと。破折したすき間から細菌が入り込んで炎症を起こし、さらにそれが歯ぐきや顎の骨に広がって、中には顎の骨が溶かされてしまうケースもあるのです。
歯根破折は放置してはいけません。治療後の歯や歯ぐきに違和感を覚えたら、できるだけ早くご相談ください。
口腔内接着法

破折の状態が比較的小さい場合に行う治療法です。歯を抜かずに、口腔内で歯根の接着処理を行います。抜歯や、抜歯後の固定などの処置が不要なため、身体への負担を軽減できます。
口腔外接着再植法

歯根破折を起こした歯を一旦抜歯し、特殊な接着剤を用いてきれいに修復して再植する治療法です。再植には1ヶ月程度固定することが必要ですが、抜歯することで炎症部分の除去などの処置が確実に行え、口腔内接着法よりも予後がよいという特徴があります。
症例紹介
Case 01
| 治療前 | 接着・治療後1年10ヵ月 |
|---|---|
![]() |
![]() |
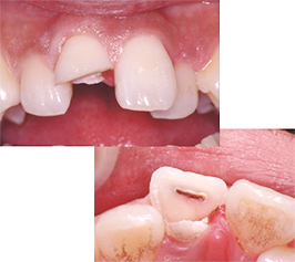
スポーツをしているときに前歯をぶつけて割れてしまった症例。
残った歯の表面を殺菌し、神経は生きたまま残し割れた歯を元の位置に接着しました。
治療は1回のみで終わり、費用は約10万円です。
強い力がかかると再び接着した歯が取れてしまう可能性や、残した神経に細菌感染が生じた場合は根の治療が必要となる可能性がありますが、治療後1年10ヵ月は問題なく経過しています。
Case 02
| 治療前 | 接着後 |
|---|---|
![]() |
![]() |
| 治療終了時 | 19年6ヵ月後 |
![]() |
![]() |
奥歯が割れてしまった症例。神経の治療後、残った歯の表面を殺菌し、土台を立てることで割れた部位を封鎖した後、金属の被せ物を製作しました。
治療回数は約10回、期間は約2ヶ月で、費用は18~28万円。
再び強い力がかかると接着した歯が割れてしまう可能性や割れた部位から細菌感染が起きる可能性はありますが、治療後19年6ヵ月は問題なく経過しています。
現在は、審美性や強度・生体に優しいなどの観点からジルコニアの被せ物を使用しております。
Case 03
| 治療前 | 一時的に抜歯 |
|---|---|
![]() |
![]() |
| 接着後 | 再植後 |
![]() |
![]() |
| 12年3ヵ月後 | |
![]() |
歯が縦に深く割れてしまった症例。
一時的に歯を抜き、抜いた歯の表面を殺菌処理後に接着して、元の位置に再び埋めこみ固定しました。歯が骨と結合したことを確認した後、金属の被せ物を製作しました。
治療回数は約5回、期間は約2ヶ月で、費用は16~26万円。
再び強い力がかかると接着した歯が割れてしまう可能性や割れた部位から細菌感染が起きる可能性はありますが、治療後12年3ヵ月は問題なく経過しました。
現在は、審美性や強度・生体に優しいなどの観点からジルコニアの被せ物を使用しております。
- 【歯根破折を防ぐには】
-
歯根破折を防ぐには、とくに次の2点に注意することが大切です。大切な歯を守るために、意識しておきましょう。
- 虫歯を決して放置しないこと
- 歯髄を残す治療を選択すること





















